世界に名だたる矯正の専門医、
Dr.宮井が当院の歯列矯正の担当医です。
当院の矯正歯科
歯には本来、力がかかった方向へ移動していく性質があります。この、歯が動く性質を利用し、矯正装置を使って歯に一定の力をかけて徐々に動かしていき、歯並びやかみ合わせを治していくのが歯列矯正です。
当院の矯正医は、日本各地の歯科医院で治療を担当し、遠方からはるばる訪れる患者さまも多い、宮井敏ドクターです。当院の整った設備環境のもと、患者さまの歯並びを美しく整えます。矯正には目立たない透明なセラミック製の器具を用いるので、大人の方の矯正にも適しております。
矯正治療のメリット
- 人前で思いっきり笑えるため、明るい印象を与える
- 食べかすが溜まりにくくなり、ブラッシングなどのケアが楽になる
- 口臭が少なくなる
- 食事をするのが楽しく、食事がおいしくなる
- 胃腸の負担が、軽くなる
- 噛むことが脳を刺激して、頭の働きをよくするといわれている
- 発音がより明瞭になる
- 不定愁訴といわれる顎関節の痛みや肩こり、腰痛などの痛みも軽減される
- 将来、年齢を重ねても歯が残りやすいので、元気な生活を長く送ることができる
成人矯正とは
矯正というと、以前はお子さまの治療というイメージがあったかと思いますが、ここ近年、20代など若い男女を中心に成人でも矯正治療を希望する方が増えてきました。
矯正とひと口に言ってもさまざまな方法がありますので、お悩みに合った方法を選択いただけるようになってきました。お子さまの矯正と異なり、普段、お仕事されている方も多いので、日常生活に支障がない矯正方法の選択が必要となります。
成人矯正の種類とメリット
表側矯正
ブラケットという矯正装置を歯の表面に付けて歯を動かします。最も一般的で、費用も低めです。
インプラント矯正
人工歯を軸に、力を効率よく加えていく治療方法です。短期間で治療可能です。
小児矯正とは
お子さまの歯列矯正は成人矯正と違い、歯に負荷をかけて動かすというより、顎の成長に合わせて歯並びを適正に整えていく治療になります。
お子さまの歯列矯正では、年齢(幼児・小学生・中高生)ごとに治療方法が異なってきます。
お子さまの歯列矯正の時期とポイント
幼児期の歯列矯正
乳歯の生え方によって、後に生えてくる永久歯にも影響してきますので、事前に予防することが大切だと考えています。
小学生の歯列矯正
この時期はお子さまの顎が正しく成長していくようにサポートしていきます。永久歯は、顎に適切な余裕(スペース)があれば正しく生えてきますので、小児矯正を行う上で、最も適した時期ともいえます。
中高生の歯列矯正
この頃には骨格も大人と同じになり、顎の成長もほぼ止まっているため、成人の矯正と同じ矯正方法を取る場合が多くあります。
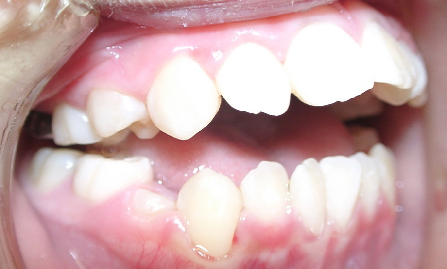
矯正歯科 症例
叢生
-
- 術前





-
- 術後





上顎前突
-
- 術前





-
- 術後





反対咬合
-
- 術前





-
- 術後





開咬
-
- 術前





-
- 術後





矯正歯科治療に伴う一般的なリスクや副作用について
矯正治療には以下の一般的なリスク・副作用があることをご理解ください。
※すべてのリスクや副作用が生じるわけではありません。
1.最初は矯正装置による不快感、痛み等があります。数日間〜1、2週間で慣れることが多いです。
2.歯の動き方には個人差があります。そのため、予想された治療期間が延長する可能性があります。
3.装置の使用状況、顎間ゴムの使用状況、定期的な通院等、矯正治療には患者さんの協力が非常に重要であり、それらが治療結果や治療期間に影響します。
4.治療中は、装置が付いているため歯が磨きにくくなります。むし歯や歯周病のリスクが高まりますので、丁寧に磨いたり、定期的なメンテナンスを受けたりすることが重要です。また、歯が動くと隠れていたむし歯が見えるようになることもあります。
5.歯を動かすことにより歯根が吸収して短くなることがあります。また、歯ぐきがやせて下がることがあります。
6.ごくまれに歯が骨と癒着していて歯が動かないことがあります。
7.ごくまれに歯を動かすことで神経が障害を受けて壊死することがあります。
8.治療途中に金属等のアレルギー症状が出ることがあります。
9.治療中に「顎関節で音が鳴る、あごが痛い、口が開けにくい」などの顎関節症状が出ることがあります。
10.様々な問題により、当初予定した治療計画を変更する可能性があります。
11.歯の形を修正したり、咬み合わせの微調整を行ったりする可能性があります。
12.矯正装置を誤飲する可能性があります。
13.装置を外す時に、エナメル質に微小な亀裂が入る可能性や、かぶせ物(補綴物)の一部が破損する可能性があります。
14.装置が外れた後、保定装置を指示通り使用しないと後戻りが生じる可能性が高くなります。
15.装置が外れた後、現在の咬み合わせに合った状態のかぶせ物(補綴物)やむし歯の治療(修復物)などをやりなおす可能性があります。
16.あごの成長発育により咬み合わせや歯並びが変化する可能性があります。
17.治療後に親知らずが生えて、凸凹が生じる可能性があります。加齢や歯周病等により歯を支えている骨がやせると咬み合わせや歯並びが変化することがあります。その場合、再治療等が必要になることがあります。
18.矯正歯科治療は、一度始めると元の状態に戻すことは難しくなります。










